Confident Smiles

  • Serving Oklahoma City for Over 30 Years
  • Ensuring the Highest Quality of Care
  • Creating Unforgettable & Positive Experiences
  • Serving Oklahoma City for Over 30 Years
  • Ensuring the Highest Quality of Care
  • Creating Unforgettable & Positive Experiences

Welcome to Elassal Orthodontics, Oklahoma

We provide orthodontic treatment with traditional braces, Invisalign aligners and expert TMJ dysfunction treatment.

Our top priority is to provide the best orthodontic and TMJ treatment. We will use our expertise in clinical treatment and interpersonal relationships to create an unforgettable and positive experience for our patients and their families.

Are You or Someone in Your Family Looking For:

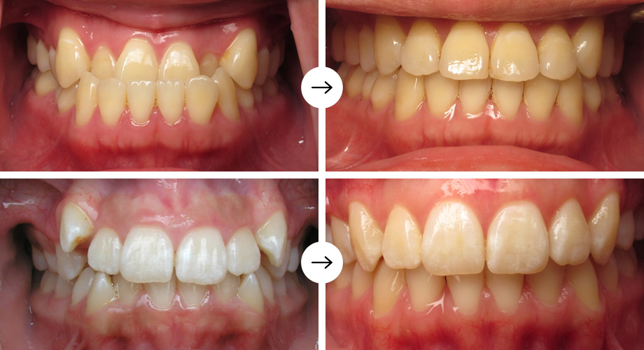
img-ba
  • Top-tier care with a personalized touch
  • A smile that turns heads — and lasts
  • A bite that functions as beautifully as it looks
  • Lasting relief from TMJ symptoms
  • Stability, comfort, and long-term results
  • A team that treats you with respect, kindness, and compassion

If you answered “yes” to even one of these, we’d love to meet you.

High-quality treatment for TMJ dysfunction at Oklahoma for over 30 years.

The treatment objective is to provide you with relief of your symptoms, a great bite, and avoid having to permanently wear a splint.

tmj-treatment
img-tmj-front

We're here for you.

At Elassal Orthodontics, we strive to deliver the highest quality of care. We put your needs first to provide efficient and comprehensive treatment in a supportive and nurturing environment.

bg-team-01

Our priority and focus is to create a positive experience for you and your family!

icon-testimonial

Dr. Elassal and all who work at the office are very caring and knowledgeable. They always strive for doing their best for the patient. The atmosphere is always calm and relaxing. I would recommend going to this orthodontist no matter the age. Thanks for taking such good care of my teeth!

- Bryce M

Dr. Elassal is very knowledgeable and has made huge strides at improving my TMJ symptoms in the past five months.

- Josh B

Always treated with respect and kindness. Able to express my concerns when needed.

- Linda O

The explanations given by the doctor as to what is happening causing my wife's jaw issues were very thorough. A tentative plan of action was agreed upon and follow up appointments made without delay.

- Yayoi F

Everyone is friendly and professional. Everyone works as a team, and insures a smooth process. I know that I am wetting quality orthodontic care. Also, I can tell that the staff members really care about their patients.

- Jamie J

Dr. Elassal and all who work at the office are very caring and knowledgeable. They always strive for doing their best for the patient. The atmosphere is always calm and relaxing. I would recommend going to this orthodontist no matter the age. Thanks for taking such good care of my teeth!

- Bryce M

Dr. Elassal is very knowledgeable and has made huge strides at improving my TMJ symptoms in the past five months.

- Josh B

Always treated with respect and kindness. Able to express my concerns when needed.

- Linda O

The explanations given by the doctor as to what is happening causing my wife's jaw issues were very thorough. A tentative plan of action was agreed upon and follow up appointments made without delay.

- Yayoi F

Everyone is friendly and professional. Everyone works as a team, and insures a smooth process. I know that I am wetting quality orthodontic care. Also, I can tell that the staff members really care about their patients.

- Jamie J

image of Kyra Eaton Blevins

Just like dancing and modeling, it’s all about the foundation—and that’s exactly what Dr. Elassal helped me build with my smile. From the very first consultation, I knew I was in expert hands. The care, precision, and attention to detail made all the difference, and I look forward not having to do anymore work for the rest of my life because I know I had it done right, the first time! Thank you Dr. Elassal!

- Kyra B.

Frequently Asked Questions

Yes! While our office is located in Oklahoma City, we proudly welcome patients from nearby communities such as Moore, Norman, and Newcastle but also from all over the State. Many families from these areas choose Elassal Orthodontics for convenient, high-quality care, including braces and Invisalign®.

At Elassal Orthodontics in Oklahoma City, we offer a full range of orthodontic treatment, using traditional braces ,Invisalign®., retainers, and TMJ treatment. Whether you’re looking for traditional metal braces, clear braces, or a discreet option like Invisalign, our orthodontist provides personalized care to help you achieve a healthy, confident smile.

Patients choose our orthodontist in Oklahoma City because of our superior results, personalized approach, advanced technology, and convenient location on South Western Avenue. We focus on creating a comfortable experience while delivering high-quality orthodontic results tailored to your needs.

The length of Invisalign treatment in Oklahoma City varies depending on your specific case, but most patients complete treatment in 12–18 months. During your consultation, our orthodontist will provide a customized timeline based on your smile goals.